Doctor Howard Farran is a world-renowned dentist, author and lecturer known for his best selling books and online dental empire. He is the CEO and founder of Dentaltown.com, which is both an online community for dentists and a magazine publication. To be sure, he’s seen almost everything there is to see in the dental field, so when he shares a photo or story on Facebook, you know it’ll be interesting.
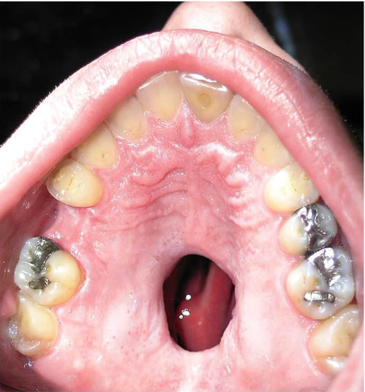
is latest post wasn’t anything to do with the teeth of a patient though. Instead it was a huge palatal perforation due to cocaine abuse, one that stretches the roof of the patient’s mouth.

The photo is a disgusting example of something that is very common in cocaine abusers, to go along with the nasal destruction and sometimes even perforated septum (when two nostrils become one). This patient shows a severe case, but it can sometimes be much less noticeable.
Cocaine restricts the blood vessels throughout the body, especially in the palate, which in turn causes the area to erode due to lack of oxygen. The tissue dies slowly, eventually resulting in a perforation. Many patients don’t seek medical attention right away because of embarrassment or fear that their drug problem will be revealed.
While not immediately life threatening, a perforated palate can lead to many different problems between the two cavities, one of which is simply drinking liquid. Because it can now travel through the opening, some cocaine abusers experience liquid pouring out of their nose.
Even if the drug abuse is stopped, the palate will not regrow and patients require surgery to close the opening. Food and other bacteria, as well as mucus and phlegm, can pass through the hole and cause discomfort and other medical problems in both cavities. Medical attention should be sought as soon as it is noticed.
For Dr. Farran, he likely shares this photo in the hopes that people with similar problems will come forward before it becomes as big of an issue as this specific patient. Their cavities are basically just rotting away, and may be past the point of repair.

Facebook Comments